
预约热线:
门诊时间:
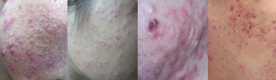
联系电话:0755-26072727 脸上长痘是大部分人都经历过的事情,而且不少的人也都做过挤痘痘都事情吧?虽然很多人都知道经常挤痘痘可能会留下痘印,也就是痤疮印,但大家还是忍不住挤了。结果大家就可想而知了,一些人因为挤痘痘,在自己脸上留下难看的痤疮印,即使是过来很长一段时间之后,痘痘不再长了,但是痤疮印依旧还在。面对这样的问题,痤疮印要如何消除呢?你们有什么方法吗?

痤疮印是怎么形成的
痤疮印的产生,大家认为都是挤痘痘留下的吗?其实不是,挤痘痘可能会导致痤疮印的产生,但不是主要原因,主要原因是因为脸上长痘痘是,痘痘部位的痤疮杆细菌对皮肤的真皮层造成了损伤,痘痘消退后,真皮层难以自我修复形成的痤疮印。

消除痤疮印的方法
因为每个人的实际情况不一样,痤疮印的程度也是不一样的。有的人痤疮印情况比较轻微,相对来说采用一些自然的调理方法,就能够慢慢修复。但是有的人痤疮印严重,一般的方法难以修复,只能通过医疗的方法治疗痤疮印,让皮肤恢复正常。目前常见的消除痤疮印的方法有三种:
自然调理:这种方法主要是通过调节自己的作息和饮食健康,让内分泌保持正常,增强体内代谢功能,为皮肤补充胶原蛋白营养,让皮肤自我修复真皮层的损伤,使痤疮印慢慢消退。这种方法对轻微的痤疮印有一定的效果。

药物治疗:一些自然方法无法祛除的痤疮印,求美者可能就需要寻找医师检查痤疮印的情况,然后根据医师的建议,使用适当药膏或者服用一些药物,治疗皮肤真皮层的损伤,消除痤疮印,让皮肤恢复正常。
激光治疗:激光治疗可以说是目前比较快速有效祛除痤疮印的方法,能够直接刺激胶原蛋白的增生,让皮肤自动修复真皮损伤部位,使皮肤恢复正常。
看完痤疮印要如何消除的相关知识,您还想了解什么吗?询问深圳肤康客服可以了解更多关于深圳肤康激光治疗痤疮印的详细信息哦!